Implant & Maxillofacial Surgical Center

Dr. Juan Ulloa, DDS
Oral and Maxillofacial Surgeon

Implant & Maxillofacial Surgical Center

Call today! (701)-572-2046

Dr Ulloa Surgical Center

Jessica

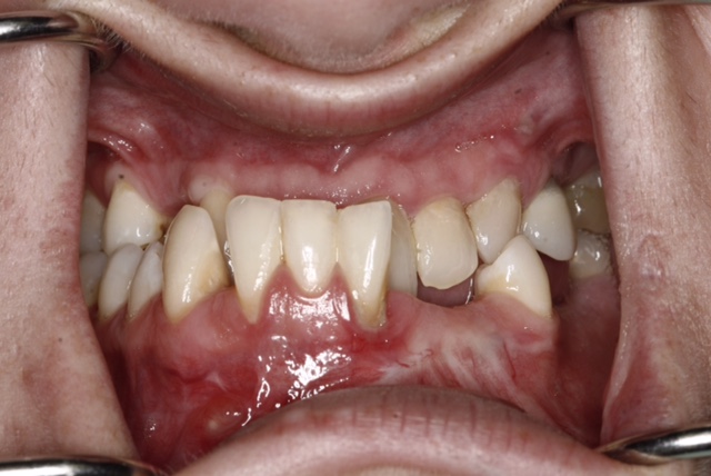
Meeting Dr. Ulloa changed my life. I grew up surrounded by a lot of pain and negativity associated with my teeth and mouth. However, after meeting Dr. Ulloa, I felt the first bit of positive reinforcement and a comfort that he was going to help me.

Obviously I was nervous prior to my surgery, however Dr. Ulloa and his team walked me through the procedure, even having me watch a video at one point to better understand how they would help me.

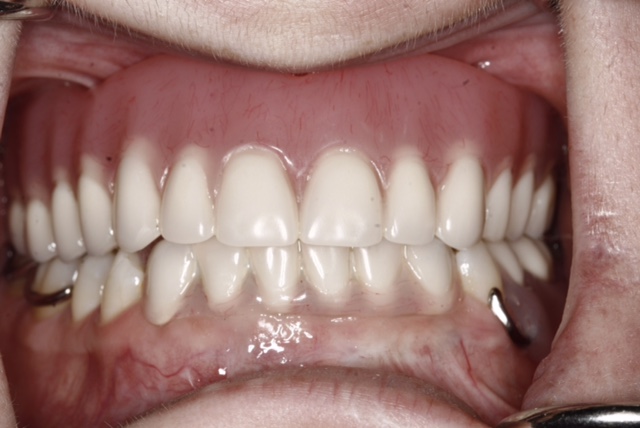
I am ecstatic with the results of my surgery. The pain in my teeth has gone away and my jaw no longer pops. I am able to eat anything I want, including foods like corn on the cob. Best of all, I no longer worry about what others may think when they see my teeth. In fact, I now receive many compliments on my smile, which makes me feel so much better. It is amazing to think how much of a difference it has made to my overall self-esteem.

I am beyond thankful to Dr. Ulloa and think anyone in need of help should reach out to him. It could change your life too!

Previous
Next

The photos on this website are from real surgeries performed by Dr. Ulloa. Due to the
graphic nature of the images and content, viewer discretion is advised.

Click to enlarge images