Implant & Maxillofacial Surgical Center

Dr. Juan Ulloa, DDS
Oral and Maxillofacial Surgeon

Implant & Maxillofacial Surgical Center

Call today! (701)-572-2046

Dr Ulloa Surgical Center

Teslin

From the moment I met Dr. Ulloa he made me feel comfortable. The way he carries himself, I immediately trusted he would take care of me. He has a way of communicating with his patients, explaining everything so both my parents and I understood.

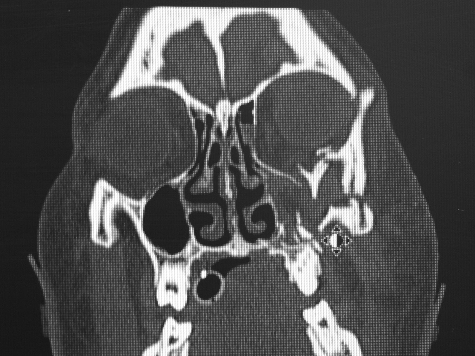
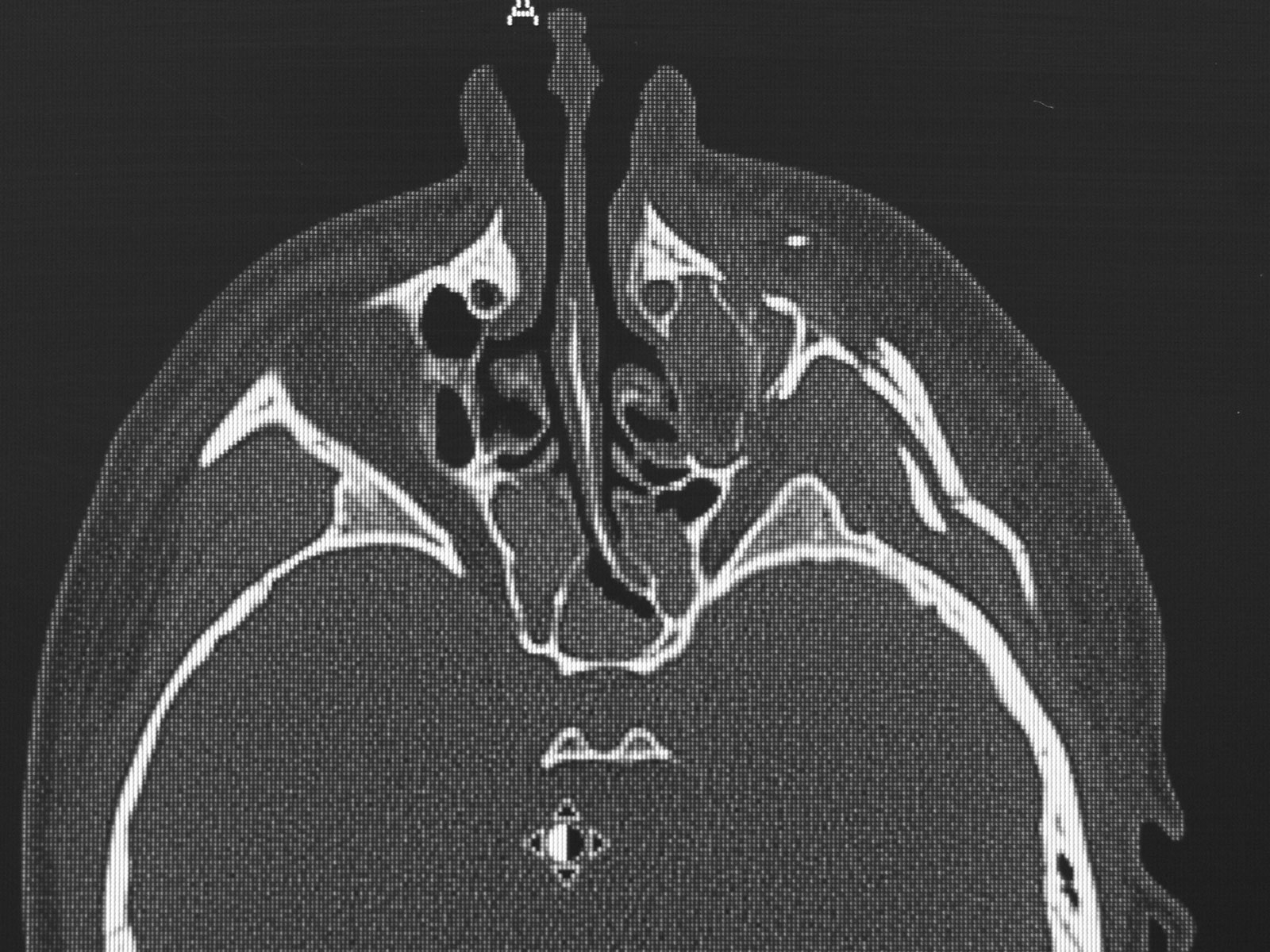
I underwent a number of procedures, the first occurring the day of my accident, to correct severe damage to my face. As Dr. Ulloa put it my face was, 'in a million pieces.  At one point there was even some bone that had lodged in my eye. He was able to address this and ended up saving my eyesight, along with reconstructing my facial features.

It still amazes me to think how far I've come from the accident and how much Dr. Ulloa did, not only for me, but also my family. I went from a lot of uncertainty to having hope and regaining a part of myself to feel normal again. I have gained a new outlook and inner strength I know will benefit me as I move forward in life.

Previous
Next

The photos on this website are from real surgeries performed by Dr. Ulloa. Due to the
graphic nature of the images and content, viewer discretion is advised.

Click to enlarge images